חוסר מולד בשיניים, או בשמו המקצועי Hypodontia, הוא מצב שבו אחת או יותר מהשיניים הקבועות אינן מתפתחות. מדובר בתופעה שכיחה יחסית, המשפיעה על כ-5-7% מהאוכלוסייה, כאשר השכיחות גבוהה יותר בקרב נשים. במקרים חמורים יותר, המצב נקרא אוליגודונטיה, שבו חסרות יותר משש שיניים, או אנודונטיה, מצב נדיר ביותר שבו כלל השיניים אינן מתפתחות.
מהם הגורמים לחוסר מולד בשיניים?
גורמים גנטיים
במרבית המקרים, חוסר מולד בשיניים נגרם כתוצאה מנטייה גנטית. אם אחד ההורים או קרובי המשפחה סבלו מהבעיה, יש סיכוי מוגבר שגם ילדיהם ייוולדו עם חסר דומה.
תסמונות רפואיות
חוסר מולד בשיניים עשוי להופיע כחלק מתסמונות רפואיות כמו:
- תסמונת אקטודרמל דיספלזיה – המשפיעה על התפתחות השיניים, השיער והעור.
- תסמונת דאון – שבה שכיחות גבוהה יחסית של חוסר שיניים.
- קליפו-פייל – תסמונת המשפיעה על מבנה השלד והשיניים.
גורמים סביבתיים והתפתחותיים
לעיתים רחוקות, גורמים סביבתיים כמו זיהומים במהלך ההיריון, חשיפה לקרינה או שימוש בתרופות מסוימות יכולים להשפיע על התפתחות השיניים אצל העובר.

מהם הסימפטומים של חוסר מולד בשיניים?
- היעדר שן או מספר שיניים קבועות – לרוב מדובר בשיניים חותכות צדדיות או טוחנות.
- שיניים קטנות או בלתי מפותחות – בנוסף לחוסר בשיניים, השיניים הסמוכות עשויות להיראות קטנות מהרגיל.
- שינוי במבנה הפנים והלסת – העדר שיניים יכול לגרום לשינויים אסתטיים בפנים ובקו הלסת.
- קשיים בתפקוד היומיומי – חוסר בשיניים יכול להקשות על לעיסה, דיבור ואכילה.
ההשפעות הפסיכולוגיות של חוסר מולד בשיניים
מעבר לבעיות הפיזיות, חוסר מולד בשיניים עלול לגרום לפגיעה בביטחון העצמי, במיוחד כאשר מדובר בשיניים קדמיות הנראות לעין. אנשים שסובלים מהבעיה עלולים להימנע מחיוך, מהצטלמות ואף ממצבים חברתיים מסוימים מתוך בושה או חשש מביקורת.
כאן בדיוק נכנס לתמונה ד”ר גלעד פיסקוס, שהפך את החיוך לכלי להחזרת הביטחון העצמי. בזכות ניסיון של מעל 30 שנה ושילוב בין ידע רפואי לאמנות אסתטית, הוא פיתח טכניקות ייחודיות שמסייעות למטופלים ליהנות מחיוך מושלם.

יתרונות הטיפול בחוסר מולד בשיניים אצל ד”ר גלעד פיסקוס
שיפור מיידי באסתטיקה
אחד היתרונות המרכזיים בטיפול הוא השיפור המהיר באסתטיקה של החיוך. בזכות ציפויי החרסינה המתקדמים, כבר מהשלב הזמני, המטופלים נהנים מחיוך מלא ואחיד.
שמירה על בריאות השיניים
ציפויי החרסינה מאפשרים שימור מקסימלי של השיניים הטבעיות, בניגוד לפתרונות פולשניים כמו שתלים או גשרים, אשר עלולים לדרוש קידוח או פגיעה בשיניים סמוכות.
תהליך מהיר ומקצועי
אצל ד”ר גלעד פיסקוס התהליך קצר ויעיל.
- בפגישה הראשונה: מתבצע אבחון אישי ובדיקה מקיפה של מצב הפה.
- בפגישה השנייה: מורכבים הציפויים הזמניים, ובכך המטופל כבר מתחיל ליהנות מתוצאה מרשימה.
- בפגישה השלישית: מתקינים את הציפויים הקבועים ומגיעים לתוצאה הסופית – חיוך מושלם ואחיד.
שילוב של אומנות ומדע
הטיפול בציפויי חרסינה אצל ד”ר פיסקוס מבוסס על שילוב ייחודי בין ידע רפואי מעמיק לבין חוש אסתטי מפותח. בעבודתו, הוא מתייחס לכל פרט קטן, החל מצבע השיניים ועד למבנה הכללי של הפנים, על מנת ליצור חיוך שמתאים באופן מושלם למטופל.

איך ד”ר גלעד פיסקוס הופך את הניבים לחותכות?
אחת השיטות הייחודיות של ד”ר פיסקוס היא התאמת השיניים הקיימות ליצירת חיוך אחיד. לדוגמה, במקרים של חוסר מולד בשיניים חותכות צדדיות:
- הניבים עוברים עיבוד והופכים לחותכות צדדיות.
- השיניים המלתעות שמאחורי הניבים מעוצבות מחדש כך שיראו כמו ניבים.
הטכניקה הזו מאפשרת להשיג מראה טבעי ואסתטי מבלי להזדקק להשתלות או גשרים.

חסרונות אפשריים של הטיפול בציפויי חרסינה
עלות
טיפולי ציפויי חרסינה נחשבים להשקעה משמעותית, אך זו השקעה משתלמת לטווח הארוך בזכות העמידות והאיכות הגבוהה של התוצאה.
התאמה אישית נדרשת
הצלחת הטיפול תלויה בהתאמה אישית מדויקת של הציפויים. לכן, חשוב לבחור רופא מומחה כמו ד”ר פיסקוס, בעל ניסיון עשיר ויכולת להבטיח תוצאות מושלמות.

סיפורי הצלחה מהמרפאה של ד”ר גלעד פיסקוס
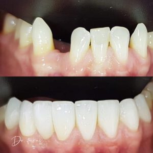
גל – רקדנית טיקטוק בת 18
גל נולדה עם חוסר מולד של שתי שיניים קדמיות, מה שגרם לה להימנע מלחייך בציבור. לאחר שהגיעה למרפאתו של ד”ר פיסקוס, הוחלט על טיפול בציפויי חרסינה כתחליף לשתלים או גשרים.
כבר לאחר הפגישה השנייה, גל יצאה עם חיוך מלא בזכות הציפויים הזמניים. כיום, גל מחייכת בביטחון מלא, ממשיכה להופיע בטיקטוק ובקרוב מתחתנת עם בחיר ליבה.
צפו בגל – שהתביישה לחייך עד שהגיעה לד"ר גלעד פיסקוס, הקסם קרה והיא חזרה לחייך
מורן – כלה עם חיוך מושלם
מורן, כלה בת 28, פנתה לד”ר פיסקוס חודש לפני חתונתה עם בקשה לשיפור מהיר של החיוך. היא סבלה מחיוך לא אחיד ומכמה שיניים קטנות ולא פרופורציונליות.
ד”ר פיסקוס ביצע הלבנת שיניים והשלמת החוסרים בשיניים עי הדבקת ציפויי חרסינה טבעיות מחומר אימקס . תוך זמן קצר, מורן קיבלה את החיוך שתמיד חלמה עליו, וזכתה לחייך חיוך מלא שיניים לבנות וזוהרות לאלבום החתונה וקיבלה מחמאות רבות מהחתן החברים והמשפחה.

צפו בד״ר גלעד פיסקוס בתוכנית מילון היופי מסביר ומראה דוגמאות בנושא החוסרים בשיניים