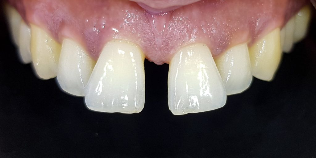
סגירת רווחים בין השיניים עם ציפויי חרסינה:
סגירת רווחים בין השיניים עם ציפויי חרסינה מהווה פתרון מתקדם ואסתטי למי שמעוניין לשפר את מראה החיוך בצורה טבעית ועמידה. ציפויי חרסינה מסוג Emax מאפשרים להשיג מראה אסתטי ומדויק, תוך שמירה על עמידות גבוהה לאורך זמן, והם הבחירה המועדפת על מומחים רבים בתחום האסתטיקה הדנטלית.

ד”ר גלעד פיסקוס – המומחיות והניסיון שיבטיחו תוצאה מושלמת לחיוך מנצח בריא , טבעי ולבן.
ד”ר גלעד פיסקוס, בעל ניסיון של מעל 30 שנה בתחום רפואת השיניים האסתטית, נחשב לאחד המובילים בתחומו בזכות הידע הנרחב והמיומנות שלו במעבר הטבעי והבריא לחניכיים , בעיצוב קו החניכיים וציפויי חרסינה טבעיות . הטיפול נעשה בהתאמה אישית לצרכים האסתטיים של כל מטופל בשיתוף הידע והנסיון של ד״ר פיסקוס. בנוסף, לד”ר פיסקוס יש מעבדה במרפאתו שבה טכנאים מנוסים עובדים צמוד להנחיותיו, מה שמבטיח דיוק והתאמה אישית מושלמת לציפויים ולכל טיפול אסתטי.

מהו חומר ה-Emax?
ציפויי Emax עשויים חרסינה איכותית וחזקה במיוחד, ומוכרים בזכות השקיפות והברק הטבעיים שלהם, שמאפשרים מראה אסתטי ומשתלב באופן הרמוני עם השיניים הקיימות. חרסינה מסוג Emax היא עמידה בפני שחיקה וכתמים, מה שהופך אותה לפתרון מצוין לטווח ארוך ולמראה טבעי במיוחד.

היתרונות של סגירת רווחים עם ציפויי חרסינה Emax:
- מראה טבעי ואסתטי – בזכות השקיפות והברק הטבעיים, הציפויים מספקים תוצאה מדויקת למראה שיניים בריא וטבעי.
- עמידות לאורך זמן – הציפויים עמידים בפני שחיקה וכתמים, ושומרים על מראהם המקורי במשך שנים רבות.
- תהליך מהיר ונוח – במרפאתו של ד”ר פיסקוס, ניתן ליהנות מתהליך מהיר ואיכותי בזכות המעבדה הממוקמת במקום, כך שכל ציפוי נעשה בהתאמה אישית ומדויקת.
- דיוק והתאמה – הודות לטכנאים המנוסים שעובדים לפי הנחיותיו של ד”ר פיסקוס, מתקבלת התאמה מושלמת ומדויקת, המבטיחה תוצאה אסתטית בריאה ומהירה .
- ד״ר גלעד פיסקוס עובד עם דבק דור 4 הדבק החזק בעולם ובזכות כך אפשר לאכול הכל אפילו תפוחים וסטייקים.
- עיצוב קו החניכיים מאד חשוב קו החניכיים שיהיה אחיד ,מושלם וכמובן בריא . ד״ר גלעד פיסקוס עם הנסיון הרב שלו והשתלמויות הרבות שלו בנושא ״עיצוב קו החניכיים ״ עושה זאת כחלק מעבודתו.
מבחינתו חניכיים ושיניים זה אחד ואסור לנו להתעלם מהחניכיים

חסרונות של ציפויי חרסינה Emax:
כמו בכל טיפול אסתטי, גם בציפויי חרסינה קיימים חסרונות שיש לקחת בחשבון:
- עלות – הטיפול עשוי להיות יקר יחסית, אך ההשקעה מבטיחה תוצאה איכותית ועמידה לאורך זמן.
- דורש תחזוקה – כמו כל טיפול אסתטי, יש לשמור על היגיינה ותחזוקה של השיניים והחניכיים כדי לשמור על תוצאות מיטביות לאורך זמן.
למי מתאים הטיפול?
סגירת רווחים עם ציפויי חרסינה Emax מתאימה לכל מי שסובל מרווחים קלים עד בינוניים בין השיניים, עיוותים או שיניים שאינן שוות בגודלן ובצורתן. טיפול זה מתאים במיוחד למי שמעוניין במראה טבעי ואסתטי, עם מינימום תחזוקה ומקסימום עמידות.
אם אתם מעוניינים לשפר את מראה החיוך שלכם, אתם מוזמנים לפנות למרפאתו של ד”ר גלעד פיסקוס ולהתייעץ על האפשרות של סגירת רווחים בעזרת ציפויי חרסינה. ד”ר פיסקוס מציע מקצועיות ברמה הגבוהה ביותר, ניסיון רב ויחס אישי ואדיב לכל מטופל.
ד״ר גלעד פיסקוס מסביר ונותן דוגמאות בתוכנית בהנחייתו ״ביוטי בלנדר״
ההבדל בין ציפויי חרסינה לציפוי השלמה של קומפוזיט /קריסטל.