תאונות ספורט ותאונות קורקינט

תוכן עניינים

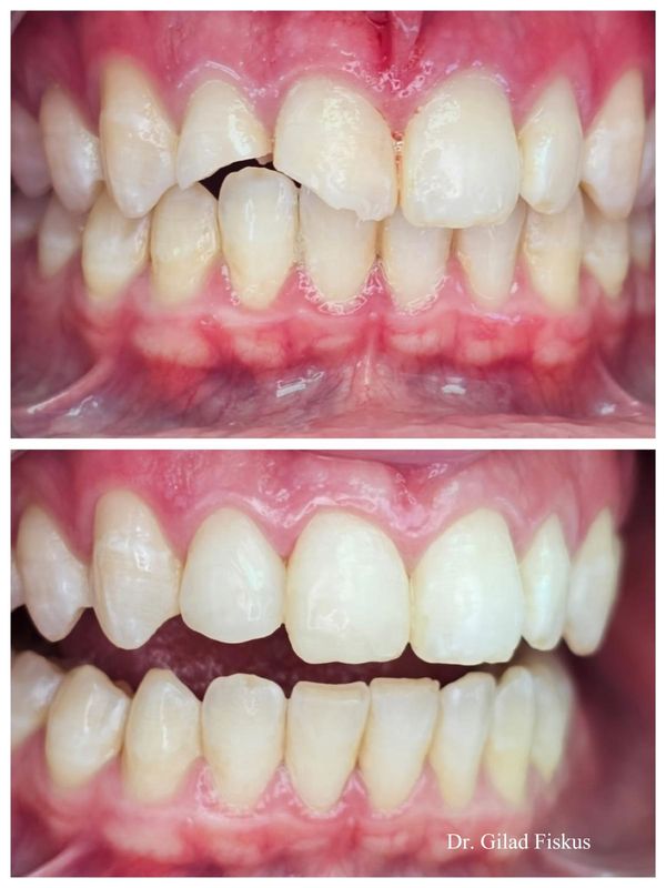
שברים בשיניים כתוצאה מתאונות ספורט או תאונות דרכים הן תופעה שכיחה שאינה זוכה למודעות מספקת. בין אם מדובר בתאונות קורקינט חשמלי – אמצעי תחבורה שהפך לפופולרי במיוחד בשנים האחרונות – או בתאונות ספורט בענפי הכדורסל והטניס, ההשלכות על בריאות השיניים עלולות להיות חמורות. ד”ר גלעד פיסקוס, רופא שיניים מומחה ומוביל בתחומו, פיתח שיטת טיפול ייחודית וחדשנית, המאפשרת שיקום מהיר ואסתטי של שיניים פגועות ללא הרדמה.

תאונות קורקינט: תופעה שכיחה עם השלכות קשות

בשנים האחרונות חלה עלייה משמעותית בשימוש בקורקינטים חשמליים, בעיקר בערים הגדולות. לצד היתרונות הברורים של תחבורה נוחה וזמינה, ישנה גם עלייה דרמטית בתאונות הקשורות לכלי תחבורה זה. מחקרים מראים כי רבים מהנפגעים בתאונות קורקינט הם צעירים בגילאי 15–30, שמאבדים שליטה או נתקלים במכשול.

החבטות והנפילות הנגרמות מתאונות אלו פוגעות פעמים רבות באזור הפנים והשיניים. שיניים שבורות או סדוקות הן תוצאה נפוצה, ולעיתים קרובות מלווה הכאב גם בפגיעה אסתטית המשפיעה על הביטחון העצמי של הנפגעים.

 

תאונות ספורט: לא רק חבלות פיזיות

ענפי ספורט כמו כדורסל וטניס נתפסים לעיתים כבטוחים יותר לעומת ענפי ספורט כמו כדורגל או רוגבי. עם זאת, גם הם גורמים למספר לא מבוטל של פגיעות שיניים.
בכדורסל, התנגשות בלתי צפויה עם שחקן אחר או נפילה על הפרקט עלולה לגרום לשברים בשיניים הקדמיות. בטניס, חבטת כדור מהירה אל הפנים עלולה גם היא לגרום לנזק דומה. מעבר לאי-הנוחות הפיזית, פגיעות אלו עשויות להוביל לפגיעה נפשית עקב תחושת מבוכה מהנזק האסתטי.

 

ד”ר גלעד פיסקוס: השיטה המהירה לשיקום שיניים

אחד האתגרים המרכזיים בטיפול בשיניים שבורות הוא הצורך בטיפול מהיר ואיכותי שמחזיר את השן למראה טבעי ופונקציונלי. כאן נכנס לתמונה ד”ר גלעד פיסקוס, המציע פתרון חדשני ומתקדם: השלמת שיניים באמצעות קומפוזיט מתקדם, הידוע גם בשמות “ציפוי קריסטל” או “ציפוי ננו-קרמי”.

מהי שיטת הטיפול?

ד”ר פיסקוס מתמחה בטכניקת שיקום שיניים שמאפשרת:

  1. טיפול מהיר וללא הרדמה – התהליך אינו כואב ואינו דורש זריקות.
  2. מראה טבעי ומושלם – ד״ר גלעד פיסקוס , עושה זאת בעבודת יד . החומרים בהם נעשה שימוש מותאמים לצבע ולמרקם השן, כך שהתוצאה נראית כמו שן טבעית לחלוטין.
  3. חוזק ואמינות – קומפוזיט ננו-קרמי הוא חומר עמיד ביותר, המסוגל להתמודד עם עומסים יומיומיים כמו לעיסה ודיבור.
  4. שיקום מיידי – רוב המטופלים יוצאים מהמרפאה תוך זמן קצר עם שיניים מושלמות, ללא צורך בביקורים חוזרים.

 

 

למה דווקא קומפוזיט?

הקומפוזיט שבו משתמש ד”ר פיסקוס הוא חומר חדשני המספק יתרונות רבים:

הוא קל לעיצוב ומאפשר יצירת צורה מושלמת של השן.
הוא בעל שקיפות ומראה קרוב מאוד לשן טבעית, מה שמקנה לו יתרון אסתטי על פני חומרים אחרים.
תהליך השימוש בו קצר, ומעניק למטופל תוצאה מהירה ומרשימה.

המחיר זול יחסית לחרסינה . מחיר החל מ 1500 ש״ח לשן אחת.
הטיפול מהיר כ שעה כי הרופא ד״ר גלעד פיסקוס עושה זאת ואין צורך במעבדה .
הטיפול מתבצע ללא הרדמה .

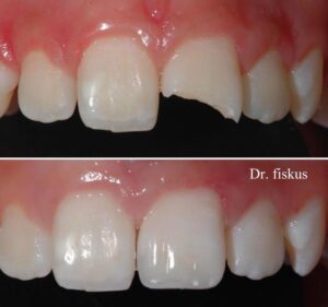
מקרה בוחן: טיפול בזמן אמת

רוני, צעירה בת 26 מתל אביב, הגיעה למרפאתו של ד”ר פיסקוס לאחר שנפלה במהלך רכיבה על קורקינט ושברה את שתי השיניים הקדמיות שלה. בתוך פחות משעה וחצי, רוני יצאה מהמרפאה עם חיוך חדש ומושלם, ללא כאבים וללא זריקות.
לדבריה: “לא האמנתי שאפשר לשחזר שיניים שבורות בצורה כזו. התוצאה מדהימה, ואני כל כך שמחה שבחרתי להגיע לכאן.”

חשיבות הטיפול המהיר:

כאשר מדובר בשיניים שבורות, הזמן משחק תפקיד מכריע. שן שנשברת עלולה להיחשף לזיהומים ולגרום לבעיות נוספות. לכן, יש חשיבות רבה לפנות במהירות למומחה שיניים מנוסה, שיוכל להציע פתרון אפקטיבי.

מסר חשוב: להגן על השיניים

למרות היתרונות של טיפול חדשני ומהיר, הדרך הטובה ביותר לשמור על השיניים היא באמצעות מניעה:

  1. חבישת קסדה בעת רכיבה על קורקינט או אופניים.
  2. שימוש במגני שיניים בעת פעילות ספורטיבית אינטנסיבית.
  3. בדיקות תקופתיות אצל רופא שיניים.

 

 

סיכום

תאונות ספורט ותאונות קורקינט עלולות לגרום לנזק משמעותי לשיניים, אך בזכות טכנולוגיות מתקדמות וטיפולים חדשניים כמו אלו שמציע ד”ר גלעד פיסקוס, ניתן להתמודד עם המצב במהירות, ללא כאבים וללא פגיעה באיכות החיים. השלמת שיניים באמצעות קומפוזיט ננו-קרמי היא פתרון יעיל ואסתטי שמחזיר את החיוך לפנים בתוך זמן קצר.

לצד הטיפול החדשני, חשוב לזכור את חשיבות המניעה: חבישת קסדה ושימוש במגני שיניים יכולים להציל את השיניים ולמנוע נזק מראש. במקרה של פגיעה, כדאי לפנות במהירות למומחה שיניים כדי למנוע החמרה של המצב.

ד”ר גלעד פיסקוס הוא דוגמה מובהקת לשילוב בין מקצועיות לרצון לשפר את איכות החיים של מטופליו, ומספק פתרון מושלם לכל מי שנקלע לתאונת שיניים, עם דגש על מהירות, אסתטיקה ושביעות רצון גבוהה. השיניים שלנו הן חלק בלתי נפרד מהאסתטיקה והבריאות שלנו – שמרו עליהן, ואם נפגעו, בחרו במומחה שיחזיר להן את החיוך.

 

 

תוכן עניינים

המרפאה של ד״ר גלעד פיסקוס

יעוץ אישי שמתחיל בהקשבה

דיוק ותכנון נכון.

מלאו פרטיכם וניצור קשר בהקדם:

מידע נוסף לעיונכם: