גלריה – שיניים עקומות

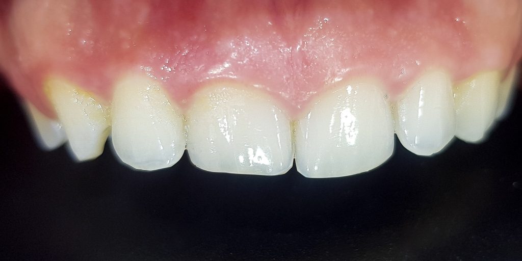
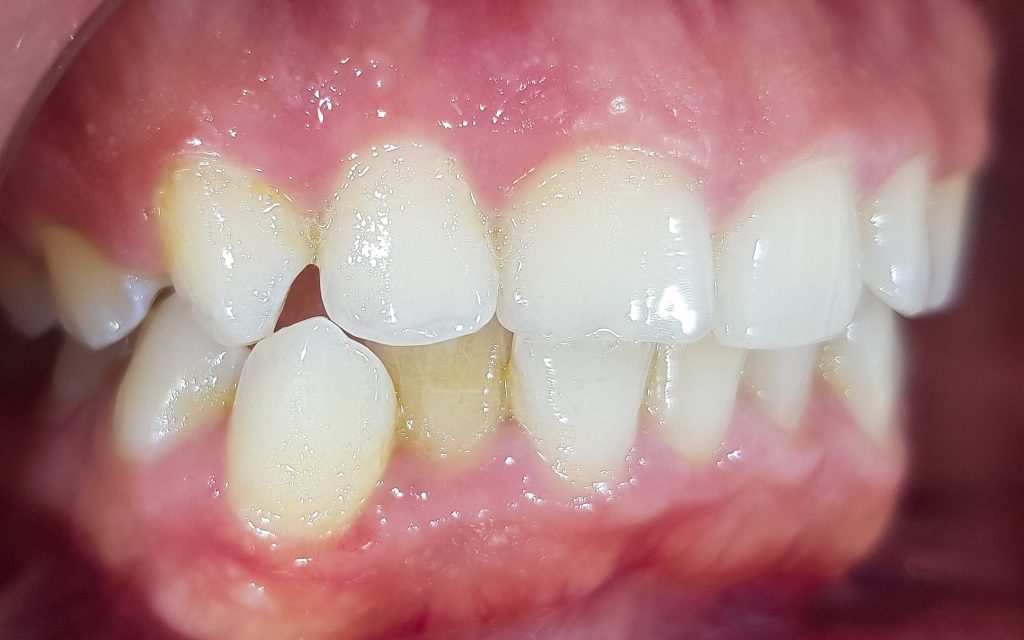
מקרים של צפיפות שיניים, או שיניים עקומות אפשר לפעמים לתקן בשיטת יישור שיניים קונבנציונלי, אצל אורתודנט, אבל התהליך ארוך ומייגע בדרך כלל מעל שנה, והמטופלת ביקשה פתרון מהיר יותר בעזרת ציפויי חרסינה. חלק מהשיניים היו שחוקות וציפויי למינייטס תיקנו גם את זה, דבר שלא ניתן ליישר ביישור שיניים בלבד.

לסיכום – במספר מפגשים בודדים השגנו יישור שיניים, החזרת הגודל המקורי של השיניים והלבנת שיניים למראה מנצח, בריא , טבעי , לבן ויפה.