ד"ר גלעד מומחה ברפואת שיניים כללית ושיקום הפה, עם התמחות מעמיקה באסתטיקה דנטלית. במשך יותר משלושה עשורים של ניסיון הוא השתתף בעשרות כנסים מקצועיים בארץ ובעולם, כולל כנסים של האקדמיה האירופית לאסתטיקה דנטלית, קורס ייעודי לבניית שיניים קדמיות אצל Prof. Lorenzo Vanini באיטליה והכשרה מתקדמת בתחום השתלים מטעם חברת ZIMMER בשווייץ.
ד"ר גלעד מומחה ברפואת שיניים כללית ושיקום הפה, עם התמחות מעמיקה באסתטיקה דנטלית. במשך יותר משלושה עשורים של ניסיון הוא השתתף בעשרות כנסים מקצועיים בארץ ובעולם, כולל כנסים של האקדמיה האירופית לאסתטיקה דנטלית, קורס ייעודי לבניית שיניים קדמיות אצל Prof. Lorenzo Vanini באיטליה והכשרה מתקדמת בתחום השתלים מטעם חברת ZIMMER בשווייץ.
חורקים שיניים בלילה או נועלים לסת בגלל סטרס?
זה לא רק מפריע, זה שוחק שיניים, גורם לשברים וכאבים בלסת ובראש.
הסד הלילי של ד״ר פיסקוס מציע פתרון מדויק, קטן, כמעט לא מורגש
ועם סטופר קדמי שעוצר את הנעילה ומפחית את הכאבים.
הרופא יוצר מודל תלת מימדי ומתכנן את תנועות היישור לצורך ייצור פלטות שקופות מותאמות אישית.
המטופל מחליף פלטות שקופות כל שבוע עד שבועיים, כאשר כל פלטה מזיזה את השיניים בהדרגה.
מבצעים ביקורות תקופתיות לצורך בדיקת התקדמות, התאמות וקבלת הפלטות הבאות.
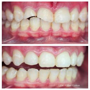
בניית שיניים בקומפוזיט היא פתרון אסתטי, מהיר ולא פולשני שמעניק שיפור טבעי במראה השן. הטיפול מתאים לתיקון פגמים, סגירת רווחים ושדרוג גוון, ודורש תחזוקה תקופתית לשמירה על התוצאה.
ד״ר גלעד פיסקוס בעל ניסיון רב ביצירת קומפוזיט שמשתלב בצורה טבעית ומעניק חיוך אחיד ובריא.







פינתו הקבועה של ד״ר גלעד פיסקוס בנושא אסתטיקה של החיוך